Take a read online
Nova Edgcombe BSc, Diploma Dental Hygiene University of Bristol UK, RDH
Dental Hygienist
Nova Edgcombe BSc, Diploma Dental Hygiene University of Bristol UK, RDH
Dental Hygienist
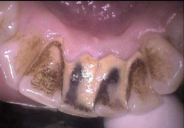
Ever wonder what happens when plaque isn’t removed regularly? These before-and-after images speak louder than words.
What you’re seeing is calculus: hardened plaque that’s fused to the teeth, picking up stains from coffee, tea, wine or smoking. It doesn’t just look bad, it traps bacteria below the gumline and fuels gum disease, bad breath and eventual bone loss if left unchecked.
This patient hadn’t seen a hygienist in years and was embarrassed by the heavy buildup. Within a couple of sessions, the transformation was dramatic - not just in appearance but in confidence too.
At Mint Dental Hygiene, we see this often. Life gets busy, and dental care takes a backseat. But we’re here to help, not judge. Our focus is on gentle, thorough treatment that leaves you walking out lighter, brighter and fresher.
If you’re overdue or unsure what’s going on beneath the surface, let us take a look. The results can be more powerful than any whitening treatment, though we offer those too, once your teeth are plaque-free and ready to shine.
Visit mintdentalhygiene.co.nz to learn more or book online.
Nova Edgcombe BSc, RDH, Dental Hygienist
Mint Dental Hygiene
424 Lake Road, Takapuna
021 2306517
info@mintdentalhygiene.co.nz
mintdentalhygiene.co.nz